Pelvic/Gyn · ScanCoach™
Female Pelvic/Gynecologic Ultrasound ScanCoach™
View-by-View Acquisition Guidance
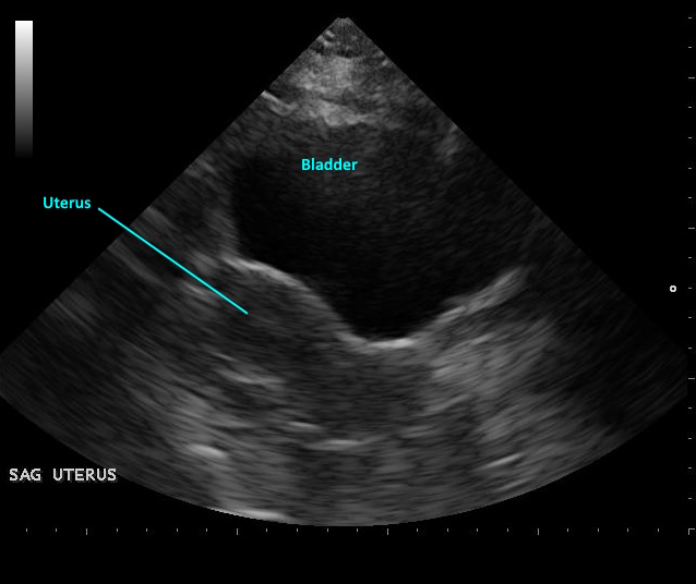
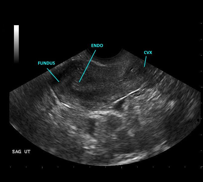
View-by-view acquisition guidance for pelvic and gynecologic ultrasound, aligned with current AIUM guidelines. Guides transabdominal and transvaginal technique with image optimization tips and normal measurement criteria for uterine and adnexal evaluation.
Premium Feature
Unlock Pelvic/Gyn ScanCoach™
Upgrade to All About Ultrasound™ Premium for $9.97/month — every Navigator protocol, ScanCoach guide, calculator engine, and 500+ echo cases.
What's included in Premium
- All Navigator protocols — vascular, OB, POCUS, MSK & more
- ScanCoach™ for every specialty with step-by-step scanning guides
- 500+ Echo Case Library cases with teaching points
- Ultrasound-Assist™ calculator engines with guideline references
- Unlimited daily flashcards & advanced challenge modes

